Qua phẫu thuật, các bác sĩ đã lấy ra dị vật là 1 nhành cây dài 16 cm nằm trong ổ bụng bé gái 3 tuổi
Chiều 30-9, Bệnh viện Nhi Đồng 2 (TP HCM) cho hay nơi đây vừa phẫu thuật lấy ra dị vật là nhành cây dài 16 cm nằm trong bụng bé gái 3 tuổi trong suốt hơn 4 tháng.


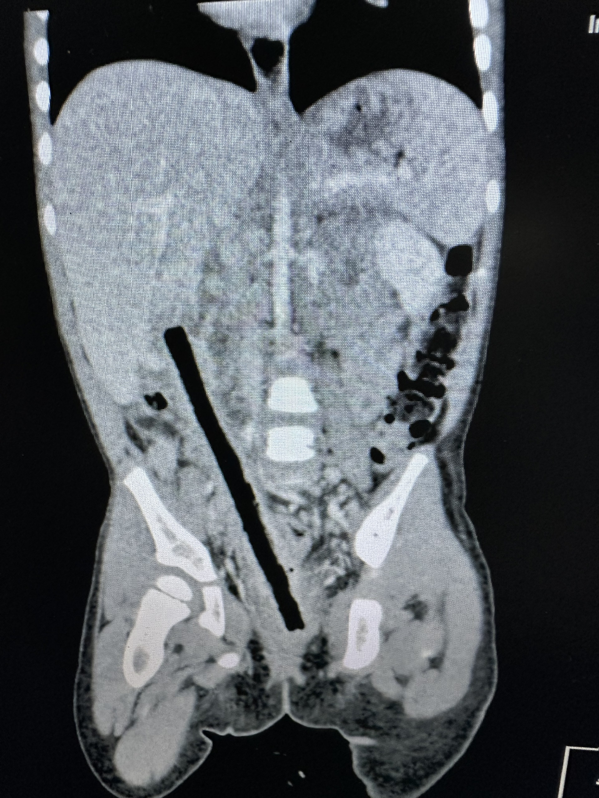
Các bác sĩ Bệnh viện Nhi Đồng 2 phẫu thuật lấy dị vật cành cây dài 16 cm trong bụng bé gái
Bệnh nhi là bé H.M.L (3 tuổi, quê Đắk Lắk). Khoảng 4 tháng trước, bé L. bị té ngã xuống ao gần nhà, được người thân phát hiện, đưa vào bệnh viện địa phương điều trị trong 2 tháng và đã xuất viện.
Một tháng sau, bé L. sốt cao, ho nhiều, nhập viện trở lại bệnh viện địa phương và được chẩn đoán viêm phổi. Kiểm tra siêu âm, các bác sĩ phát hiện một khối lạ trong ổ bụng, nghi dị vật nên lập tức chuyển bé đến Bệnh viện Nhi Đồng 2.
Theo BSCK1 Nguyễn Hiền, Khoa Ngoại tổng hợp – Bệnh viện Nhi Đồng 2, kết quả CT scan cho thấy trong ổ bụng bệnh nhi có dị vật kích thước 1×16 cm nằm vùng từ trực tràng đến gan.
Ê-kíp nội soi xác định dị vật đâm xuyên trực tràng, ruột non và tá tràng viêm dính nhiều, gây khó khăn cho phẫu thuật. Các bác sĩ tiến hành mổ mở bóc tách dọc theo dị vật, tách dính toàn bộ ruột, tránh làm tổn thương các mạch máu thần kinh và niệu quản, hạn chế các tổn thương các bộ phận khác.
Sau 4 giờ phẫu thuật, các bác sĩ đã lấy ra nguyên vẹn nhành cây dài 16 cm. Bệnh nhi được xử lý cầm máu, khâu các vết thương và làm hậu môn tạm. Hiện bé đang dần hồi phục và dự kiến sẽ xuất viện sau 1 tuần.


Hiện bé đang dần hồi phục sau khi được lấy nhành cây dài 16 cm ra khỏi bụng
Khoảng 1 tháng sau, bệnh nhi sẽ được đóng hậu môn tạm, sau đó có thể sinh hoạt lại bình thường và không để lại di chứng.
Các bác sĩ nhận định may mắn dị vật không đâm vào các mạch máu lớn nên không ảnh hưởng đến tính mạng. Bên cạnh đó, do bệnh nhi bị viêm phổi hít nên cho dùng kháng sinh phổ rộng để điều trị nhiễm trùng, vô tình ức chế việc nhiễm trùng do dị vật gây ra.
“Dị vật đâm xuyên vùng hậu môn từng được ghi nhận ở trẻ nhỏ, thường gặp khi các em vui chơi, tắm ở ao hồ, sông suối. Tuy nhiên, trường hợp bé L. là rất hy hữu vì nhành cây dài và nằm trong ổ bụng trong thời gian khá lâu. Nếu dị vật để lâu trong ổ bụng có thể xuyên vào các cơ quan bên trong, gây nhiễm trùng nặng, suy đa cơ quan, nguy hiểm tính mạng”-BS Hiền khuyến cáo thêm.
Theo
nld.com.vn
Copy link
Lấy link
Thể Thao
Zubimendi rực sáng, Arsenal thắng ‘ba sao’
Th9
Công Nghệ
Zalo, Facebook… bỗng dưng bị khóa, cần làm gì?
Th9
Công Nghệ
Zalo vừa có loạt thay đổi quan trọng: Tất cả người dùng cập nhật sớm để không bỏ lỡ quyền lợi
Th9
Công Nghệ
Zalo thu phí zCloud trên iPhone đắt hơn Android, người dùng hỏi tại sao vậy?
Th8
Công Nghệ
Zalo ra thông báo quan trọng tới hàng chục triệu người dùng: Ai cũng nên cập nhật sớm, tránh mất quyền lợi
Th8
Công Nghệ
Zalo ra thông báo mới nhất: Tất cả công dân Việt Nam cần cập nhật ngay để không bị mất quyền lợi
Th9
Công Nghệ
Zalo có thay đổi mới, người dùng cần biết kẻo mất quyền lợi
Th8
Công Nghệ
Zalo cán mốc 78,3 triệu người dùng, đặt Viettel, VNPT, MobiFone trước ‘bẫy đường ống’
Th9
Thể Thao
Yu Zidi, thần đồng Trung Quốc 12 tuổi thay đổi bơi lội thế giới
Th8
Công Nghệ
YouTube triển khai AI xác minh độ tuổi người dùng từ tháng 8/2025
Th8
Công Nghệ
YouTube thử nghiệm AI tự chỉnh sửa video của người dùng
Th9
Công Nghệ
YouTube tặng 2 tháng Premium cho người dùng với 1 điều kiện
Th9
Công Nghệ
YouTube khai tử mục Thịnh hành
Th7
Công Nghệ
YouTube hạn chế việc dùng chung gói Premium Family
Th9
Công Nghệ
YouTube đã tiếp cận hơn 55 triệu người dùng từ 18 tuổi trở lên tại Việt Nam
Th8
Công Nghệ
YouTube bắt đầu “càn quét” tài khoản chia sẻ Premium Family không hợp lệ
Th9
Công Nghệ
YouTube bắt đầu “càn quét” tài khoản chia sẻ Premium Family không hợp lệ
Th9
Sức Khỏe
Yoga là gì? Các loại yoga phổ biến và công dụng khi tập yoga
Th9
Radio My
Yêu thương nào ấp ủ những mầm non
Th9
Radio My
Yêu thương cho đi
Th9
Radio My
Yêu say đắm 2 năm, chàng trai ‘bỏ chạy’ sau 3 tháng sống thử
Th8
Radio My
Yêu người khác khi đang ly thân, có bị xem là ngoại tình?
Th9
Radio My
Yêu lại từ đầu
Th9
Nhạc Của Hùng
Yêu Là “Tha Thu” | QUANG HÙNG
Th9
Radio My
Yêu cô gái 1m2, chàng trai Thanh Hóa vượt 1.300km về ở rể và cái kết
Th9
Thời Sự
Yêu cầu kiểm điểm vụ đề xuất lấy biệt thự trong di tích làm chỗ ở cho Phó giám đốc Sở
Th8
Thời Sự
Yêu cầu của Chủ tịch TP Cần Thơ trong ngày khởi công tuyến đường hơn 7.200 tỷ
Th9
Thời Sự
Yên Bài: Vững bước phát triển, khẳng định vị thế sau sáp nhập
Th8
Công Nghệ
YBY1 lập kỳ tích vô địch cả hai hạng mục tại Đấu Trường Hỗn Chiến Mùa 2
Th8
Thể Thao
Yamal tỏa sáng, Barca đánh bại Mallorca ở vòng 1 La Liga 2025-2026
Th8
Thể Thao
Yamal tái xuất ấn tượng, Barcelona vượt mặt Real Madrid lên đỉnh bảng
Th9
Thể Thao
Yamal lập cú đúp mừng áo số 10, Barca thắng to
Th8
Thể Thao
Yamal lập công, Barca ra quân tưng bừng nhờ…trọng tài
Th8
Thể Thao
Yamal khiến đối thủ đốt đền, Barca thoát hiểm phút bù giờ
Th8
Thể Thao
Yamal ghi bàn trong tình huống gây tranh cãi, Barcelona vẫn đứt mạch toàn thắng
Th9
Thể Thao
Yamal chói sáng, Barca đoạt cúp Joan Gamper
Th8
Thời Sự
Ý thức của người dân có chuyển biến tích cực
Th8
Thông Tin Tiêu Dùng
Y pháp và pháp y khác nhau như thế nào?
Th9
Ẩm Thực
Xuýt xoa cá hấp mắm gừng thơm lừng góc bếp
Th8
Thời Sự
Xuyên đêm đưa chuyên cơ từng chở Bác Hồ sang Triển lãm quốc gia
Th8
Thời Sự
Xưởng mất điện cả ngày bỗng cháy đỏ rực trong đêm, khói bốc cao hàng chục mét
Th8
Thời Sự
Xứng đáng với trọng trách, tạo dấu ấn đặc biệt trong lòng Nhân dân
Th9
Giải Trí
Xúc động ước nguyện tuổi 80 của NSND Bạch Tuyết
Th8
Giải Trí
Xúc động ngắm nhìn hình ảnh ‘Những người con của Tổ quốc’
Th8
Radio My
Xúc động lời dặn của bố chồng tương lai, cô gái vượt 1.200km về Nghệ An làm dâu
Th8
Thời Sự
Xúc động lễ chia tay thầy Lê Bá Khánh Trình, 4 tiến sĩ đàn hát ‘Thời thanh niên sôi nổi’
Th8
Thời Sự
Xúc động khoảnh khắc các biên đội trực thăng kéo cờ Đảng, cờ Tổ quốc bay trên Quảng trường Ba Đình
Th8
Thời Sự
Xúc động hình ảnh hàng trăm giáo viên tình nguyện đến vùng lũ dọn dẹp trường lớp
Th8
Giải Trí
Xúc động hàng triệu người hòa giọng Quốc ca trong ngày 2/9
Th9
Radio My
Xúc động cha già gánh gần 80kg đặc sản, vượt hơn 600km đến thăm con cháu
Th9
Thông Tin Tiêu Dùng
Người xưa dặn 3 thứ này dù thích cũng không được mang về nhà
Th9
Thông Tin Tiêu Dùng
Trồng 5 loại hoa này trước nhà: Hoa càng nở đẹp gia chủ càng tổn hại tài lộc
Th9
Thông Tin Tiêu Dùng
3 loại cây hợp cả 5 mệnh, cực tốt cho gia đình nhiều người xung khắc, trồng trong nhà vừa đẹp vừa giàu
Th9
Thông Tin Tiêu Dùng
Cô hồn lùi xa, tháng 8 âm lịch tới hãy làm việc này để đón tài lộc, vận may khởi sắc
Th9
Thông Tin Tiêu Dùng
Tháng 7 dọn dẹp nhà cửa rất tốt nhưng phải tránh 3 điều này kẻo đại kỵ phong thủy làm hao tài tổn lộc
Th8
Thông Tin Tiêu Dùng
Trồng rau húng quế trong nhà: vừa tốt phong thủy vừa lợi sức khỏe
Th10
Thời Sự
‘Anh Tạ’ phim Mưa đỏ và nhạc sĩ Nguyễn Văn Chung khiến học sinh phấn khích
Th9
Thời Sự
‘Áp lực thi cử nên dạy Toán luyện đề, giải mẫu nhiều hơn khuyến khích sáng tạo’
Th9