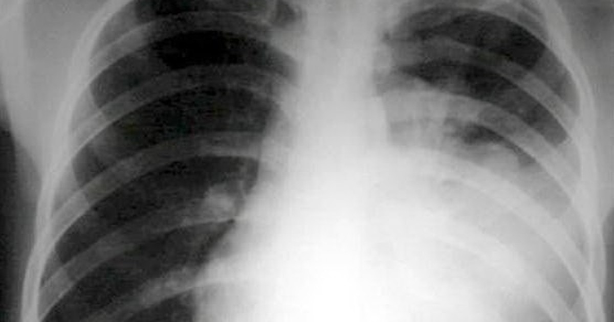
Coi chừng nhầm tưởng ung thư phổi với bệnh hô hấp
Bởi đặc tính như nói trên, nên bệnh nhân mắc ung thư phổi thường được
12
Th4
Th4
Công an TPHCM xử lý người đăng tin sai sự thật về Bệnh viện Chợ Rẫy
Ngày 10/3, Phòng An ninh chính trị nội bộ, Công an TPHCM cho biết đã
12
Th3
Th3
