Ban đầu, thấy con ho ra máu, phụ huynh nghĩ là con bị bệnh phổi hoặc răng miệng tổn thương khi ăn. Thế nhưng, khi bác sĩ gắp sinh vật sống kia ra, ai nấy đều hoảng hốt.
Ngày 21 tháng 4 vừa qua, phòng nội soi phế quản nhi khoa của Bệnh viện Nhân dân Lincang (tỉnh Vân Nam, Trung Quốc) đã tiếp nhận một bệnh nhi đặc biệt trong tình trạng nguy kịch. Cậu bé Xiaolin (8 tuổi) nhập viện sau hơn 10 ngày ho liên tục không dứt.

Ảnh minh họa
Theo người nhà, lúc đầu thỉnh thoảng cậu bé ho ra dịch có máu. Tuy nhiên, cậu bé không sốt cao hay quá mệt mỏi, nên gia đình cho rằng bé bị bệnh đường hô hấp hoặc tổn thương răng miệng. Do bình thường Xiaolin ăn vội, rất hiếu động. Đến khi có dấu hiệu khó thở, máu xuất hiện nhiều hơn sau mỗi cơn ho, bố mẹ vội vã đưa con tới bệnh viện địa phương.
Tại đây, dù đã điều trị kháng khuẩn và dùng thuốc nhưng tình trạng không hề thuyên giảm. Thậm chí, cậu bé 8 tuổi này bắt đầu xuất hiện những cơn ho ra toàn máu tươi khiến gia đình vô cùng hoảng loạn và lập tức chuyển lên bệnh viện tuyến trên.
Khi thăm khám, các bác sĩ phát hiện một chi tiết đáng chú ý: Chỉ mới 6 tháng trước, Xiaolin từng phải nhập viện để lấy một con đỉa ra khỏi khoang mũi. Ngay lập tức, Trưởng khoa cấp cứu Li Yali của Bệnh viện Nhân dân Lincang đã chỉ định nội soi phế quản điện tử để kiểm tra “đường đi” của những cơn ho ra máu đầy bí ẩn này. Cuối cùng, đã phát hiện ra “thủ phạm”.
Sinh vật 8cm bịt kín đường thở, khiến cậu bé ho ra máu
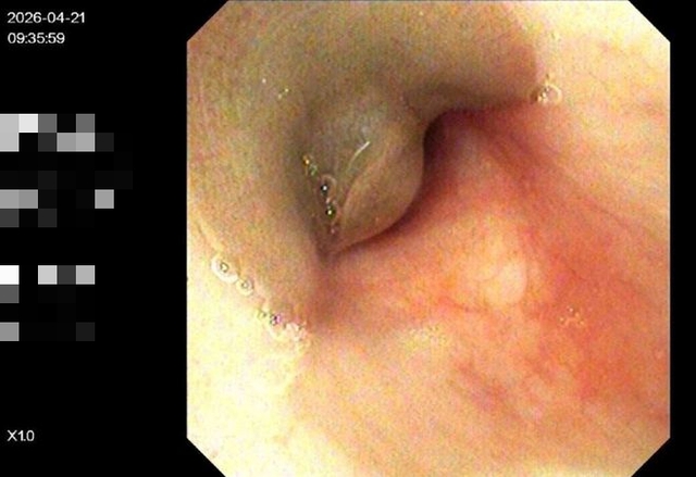
Kết quả nội soi khiến toàn bộ ekip y tế cũng phải sững sờ giấy lát. Giấu mình sâu trong khí quản của cậu bé là một con đỉa sống đang ngo ngoe. Giác hút của nó bám chặt lấy niêm mạc khí quản, hút máu để lớn lên từng ngày.

Con đỉa bám chặt vào khí quản và chặn đường thở, khiến cạu bé ho ra máu
Kịch tính hơn, con đỉa này di chuyển lên xuống liên tục theo mỗi nhịp thở của Xiaolin. Các bác sĩ nhận định, khi cậu bé thở ra, cơ thể con đỉa phình lên gần như làm tắc nghẽn hoàn toàn đường thở. Sự kích thích thường xuyên này chính là nguyên nhân gây ra những cơn ho dai dẳng, cảm giác vướng nghẹn ở cổ họng và tình trạng xuất huyết nghiêm trọng.
Bác sĩ Li nói thêm:
“Độ bám dính của con đỉa cực kỳ mạnh, đến mức dù bệnh nhi có cố gắng ho mạnh đến đâu cũng không thể tống khứ vật ký sinh này ra ngoài”.
Cuộc “giải cứu” khí quản nghẹt thở
Nhận thấy sự chậm trễ có thể dẫn đến nhiễm trùng nặng, chảy máu ồ ạt hoặc gây nghẹt thở đe dọa tính mạng, ekip phẫu thuật đã quyết định gây mê toàn thân để lấy dị vật. Đây là một ca thủ thuật đòi hỏi sự chính xác tuyệt đối. Đội ngũ y tế phải đưa ống nội soi qua khoang mũi, len lỏi vào vùng phẫu thuật để xác định vị trí.
Bằng kẹp phẫu thuật chuyên dụng, các bác sĩ đã kẹp chính xác và lôi “thủ phạm” ra ngoài. Đó là một con đỉa rừng dài tới 8cm, vẫn còn đang ngọ nguậy bò trườn ngay khi vừa rời khỏi cơ thể bệnh nhi.
Sau thủ thuật, các chỉ số sinh tồn của Xiaolin đã ổn định, cậu bé không còn cảm thấy khó chịu và đang hồi phục rất tốt.

Lấy ra con đỉa còn sống dài 8cm từ khí quản cậu bé 8 tuổi
Con đường “nhập cảnh” không ngờ của vật ký sinh
Trường hợp của Xiaolin là lời cảnh báo đắt giá về thói quen sinh hoạt và không chủ quan với dáu hiệu bất thường, nhất là đối với trẻ em.
Các bác sĩ cảnh báo rằng ấu trùng và trứng đỉa thường ẩn náu trong các khe suối, dòng chảy tự nhiên trên núi. Khi trẻ em có thói quen uống nước trực tiếp từ nguồn này hoặc tắm suối để nước tràn vào mũi, miệng, ấu trùng sẽ nhân cơ hội bám vào niêm mạc. Nhờ môi trường ẩm ướt và nguồn máu dồi dào, chúng ký sinh và lớn nhanh như thổi.
Chi tiết
Địa chỉ tổ chức
chịu trách nhiệm
hàng hóa
Tên tổ chức chịu
trách nhiệm
hàng hóa
Khu vực xuất xứ
Thời hạn bảo
hành
Điện áp đầu vào
(V)
Công suất (W)
Loại bảo hành
Thương hiệu
750 KIM GIANG
HUNONIC HÀ NộI
Việt Nam
12 tháng
220v
14000
Bảo hành
Công Tơ Điện Hunonic Entec - Giải Pháp Tiết Kiệm Năng Lượng Thông Minh Điều Khiển
Điều nguy hiểm là dịch tiết của đỉa có chứa chất chống đông máu, khiến vết cắn liên tục chảy máu, dẫn đến hiện tượng ho ra máu hoặc khàn giọng kéo dài mà các phương pháp điều trị viêm nhiễm thông thường không thể chữa khỏi. Trong câu chuyện này, gia đình Xiaolin quá chủ quan khi con ho nặng bất thường, thậm chí ho ra máu mà không khám ngay lập tức.
Dấu hiệu cảnh báo có vật ký sinh đường thở
Nhiễm ký sinh trùng hoặc vật ký sinh, thậm chí dị vật đường thở rất dễ nhầm lẫn với bệnh hô hấp. Phụ huynh cần đặc biệt lưu ý nếu trẻ có các biểu hiện sau:
– Ho liên tục dai dẳng, có máu trong đờm hoặc ho ra máu tươi.
– Khàn giọng kéo dài, khó thở, thở khò khè nhưng không sốt.
– Cảm giác vướng víu, nhột hoặc có vật lạ di chuyển trong cổ họng/mũi.
Ưua câu chuyện của Xiolin, bác sĩ Li nhắc nhở dù người lớn hay trẻ em cũng không nên uống nước suối/hồ/sông/ao trực tiếp. Nước cần được lọc, đun sôi để tiêu diệt hoàn toàn ấu trùng. Nếu có các dấu hiệu bất thường sau khi tắm sông suối, phải đến cơ sở y tế kịp thời, tránh những biến chứng đe dọa tính mạng.
Nguồn và ảnh: NetEase Health, China Times
Theo
thanhnienviet.vn
Copy link
Lấy link
Nguồn Trang : https://soha.vn/be-trai-8-tuoi-ho-ra-mau-suot-10-ngay-bac-si-gap-duoc-thu-pham-hut-mau-dai-8cm-dang-ngo-ngoe-bo-truon-198260423074131389.htm
Bài viết gợi ý
- Xbox thế hệ mới lộ diện với mã Project Helix, tham vọng dẫn đầu hiệu năng và chơi cả game PC lẫn console
Asha Sharma, tân giám đốc điều hành Xbox, hé lộ Project Helix, console thế hệ tiếp theo có thể chạy cả game Xbox lẫn game PC.if (pageSettings.allow3rd) { arfAsync.push("k9yxucrh"); } ...
- 4 kiểu nhà sát khí cao: Nên hóa giải kẻo cả người và của đều lao đao
- Camera ghi lại toàn cảnh nam tài xế xe máy 'cướp đường' tàu hỏa ở Hà Nội
- Chính thức ra mắt OPPO Find N6 tại Việt Nam: Nếp gấp "vô hình", Snapdragon 8 Elite Gen 5, tích hợp bút Magic AI và giá bán 64.99 triệu Đồng
- Nơi nào được mệnh danh Maldives thu nhỏ của Việt Nam, vừa hoang sơ vừa quyến rũ, mê hoặc mọi du khách
- Va chạm giữa 2 xe tải trong nhà máy xi măng, 2 tài xế tử vong
- Nam sinh lớp 10 bị nhóm bạn cùng trường đánh xuất huyết não, tiên lượng xấu
- Sản vật trời ban, đổi màu thần tốc, có tiền cũng khó mua ở Phú Quốc







