Sau tai nạn giao thông, du khách Nga được đưa vào bệnh viện trong tình trạng đa chấn thương, khó thở nhiều, có dấu hiệu suy hô hấp.
Ngày 12-2, Bệnh viện Nhân dân 115 (TPHCM) cho biết các bác sĩ tại đây vừa điều trị cho nam bệnh nhân O.G (37 tuổi, quốc tịch Nga) bị tai nạn giao thông đa chấn thương.

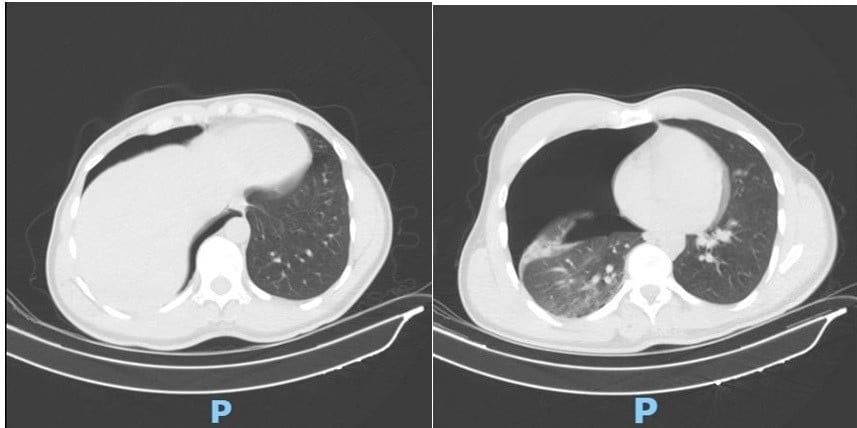
Phim CT scan lồng ngực sáng ngày nhập viện ghi nhận tràn khí màng phổi phải lượng nhiều
Trước đó, bệnh nhân được đưa đến Bệnh viện Nhân dân 115 cấp cứu trong tình trạng đa chấn thương, khó thở nhiều, đau ngực và vai phải, có dấu hiệu suy hô hấp tiến triển.
Ngay khi tiếp nhận, các bác sĩ đã khẩn trương thực hiện CT scan lồng ngực, mạch máu khẩn cấp. Kết quả cho thấy người bệnh bị tràn khí màng phổi phải lượng nhiều gây chèn ép phổi, gãy cung bên xương sườn 2, 3, 4 phải và gãy phức tạp 1/3 giữa xương đòn phải, di lệch nhiều kèm mảnh rời.
Trước nguy cơ suy hô hấp nặng, ê-kíp Khoa Phẫu thuật Tim – Lồng ngực – Mạch máu đã tiến hành đặt dẫn lưu màng phổi phải cấp cứu. Ca thủ thuật do TS-BS Đồng Đức Hưng trực tiếp thực hiện. Nhờ xử trí nhanh chóng, chính xác, phổi phải nở lại tốt, tình trạng hô hấp của người bệnh cải thiện rõ rệt chỉ sau vài giờ.
Sau hai ngày điều trị hậu phẫu, chức năng hô hấp đã ổn định và ống dẫn lưu được rút, người bệnh được chuyển sang Khoa Điều trị theo yêu cầu – Y học thể thao để tiếp tục xử trí chấn thương xương đòn.
Qua hội chẩn liên chuyên khoa và đánh giá của bác sĩ gây mê hồi sức, người bệnh đủ điều kiện an toàn để thực hiện phẫu thuật kết hợp xương đòn phải bằng nẹp vít. Ca mổ do ê-kíp BSCKII Trần Văn Dương và BS Phạm Ngọc Huy thực hiện, diễn ra thuận lợi. Nẹp vít được đặt vững chắc, trục xương phục hồi giải phẫu tốt.

Hình ảnh Xquang trước và sau mổ. Nẹp vít được đặt vững chắc, trục xương phục hồi giải phẫu tốt
Sau phẫu thuật, người bệnh hồi phục nhanh, vận động tay phải cải thiện từng ngày và xuất viện sau 4 ngày điều trị tại khoa trong tình trạng sức khỏe ổn định.
Dù gặp rào cản ngôn ngữ và không có người thân bên cạnh, anh O.G. luôn nhận được sự hỗ trợ tận tình từ đội ngũ y bác sĩ và điều dưỡng. Từ khâu giải thích tình trạng bệnh, chăm sóc hậu phẫu đến hướng dẫn vận động phục hồi chức năng, mọi quy trình đều được thực hiện chu đáo, chuyên nghiệp.
Theo
nld.com.vn
Copy link
Lấy link
Nguồn Trang : https://soha.vn/them-1-du-khach-nguoi-nga-duoc-bac-si-cap-cuu-kip-thoi-198260212105241428.htm
Bài viết gợi ý
- Tập đoàn Y khoa Sài Gòn: 22 năm tận tâm vì người bệnh và hành trình song hành cùng y tế nước nhà
Từ nền móng chuyên sâu đến hệ sinh thái toàn diệnNăm 2004, khi khái niệm y tế tư nhân còn mới mẻ - đặc biệt với mô hình bệnh viện chuyên khoa - Mắt Sài Gòn Lê Thị Riêng (TP.HCM) ra đời, trở thành viên gạch đầu ti�...
- Caffe đường phố
- UAV Ukraine tiếp tục tập kích cảng Ust-Luga, đe dọa xuất khẩu dầu của Nga
- Mua thiết bị kích sóng di động trên Shopee gây nhiễu cho mạng di động
- Capcom Spotlight 2026: PRAGMATA ra mắt sớm, hé lộ nhiều tựa game bom tấn khác
- Tin vào AI, chuyên gia công nghệ 20 năm kinh nghiệm mất hơn 3 tỷ đồng, bị vợ bỏ, phải vào viện tâm thần
- Điều người sinh trước năm 1966 cần đặc biệt cảnh giác
- Chàng Trai Bộc Phát Năng Lực Thần Y Cưa Đổ Nữ CEO, Lại Là Chiến Thần Tu Tiên 1000 Năm Và Cái Kết










