Gan nhiễm mỡ và máu nhiễm mỡ: Bệnh nào đáng lo hơn?
Gan nhiễm mỡ: nguy cơ xơ gan, ung thư gan (diễn tiến âm thầm) Máu
21
Th4
Th4
Cà phê có giúp phòng gan nhiễm mỡ? Chuyên gia nói rõ cách uống có lợi
Không chỉ giúp tỉnh táo, cà phê còn “bảo vệ” lá gan Gan nhiễm mỡ
11
Th4
Th4
Gan hưởng lợi gì khi bạn uống cà phê mỗi ngày?
Việc uống cà phê thường xuyên được chứng minh có thể giúp giảm nguy cơ
07
Th4
Th4
Nhiều người Việt xơ gan, ung thư gan chỉ vì dùng 1 thứ tưởng “lành tính”: Bác sĩ cảnh báo
Tưởng “lành tính”, nhiều người Việt tự ý bỏ thuốc điều trị viêm gan để
28
Th3
Th3
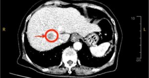
Gan xơ hóa, nhiễm mỡ độ 2 sau 25 năm duy trì 1 thói quen: Bác sĩ nói cần bỏ ngay
Người đàn ông 50 tuổi đến khám và được phát hiện mắc gan nhiễm mỡ
24
Th3
Th3
Gia tăng bệnh gan sau Tết, bác sĩ nói thẳng: Chỉ vì thứ này mà bệnh chuyển nặng
Sau mỗi dịp Tết Nguyên đán, các khoa điều trị bệnh gan tại bệnh viện
11
Th3
Th3
